New Study Points to How Colorectal Cancer Starts
Cancer may develop when normal tissue renewal slows down—not when it speeds up

A team of researchers from ChristianaCare and the University of Delaware has uncovered a key early step in how colorectal cancer begins. Their new study shows that a common genetic mutation in colorectal cancer disrupts the colon’s normal tissue renewal process, causing immature cells to build up, tissue structure to break down and early tumors to form. Their findings were published in the journal Cancers.
“This finding changes how we think about the very first steps of colon cancer,” said Bruce Boman, M.D., Ph.D., senior author of the study and a senior researcher at the Cawley Center for Translational Cancer Research at ChristianaCare’s Helen F. Graham Cancer Center & Research Institute.
Click here to make an appointment at the Graham Cancer Center.
“Instead of cancer starting because cells grow too fast, we found that it may start because the normal tissue renewal process slows down, creating a backup of cells that should have moved on. That backup sets the stage for tumors to grow.”
The study was led by a multidisciplinary team of engineers, mathematicians, pathologists and tumor biologists from four research institutions.
Colorectal cancer is one of the most common and deadly cancers worldwide. According to the World Health Organization, more than 1.9 million people are diagnosed each year, and about 930,000 people die from the disease annually.
Genetic Mutation Causes Tumor Cell ‘Traffic Jam’
The lining of the colon is constantly renewing itself. Every day, billions of cells are shed and replaced to keep the tissue healthy and working properly. This process depends on a steady cycle. New cells form at the base of tiny pockets called crypts, mature as they move upward, and are eventually shed.
The new study shows how this natural process breaks down when a mutation occurs in a gene called APC, which is altered in about 90% of colorectal cancers. Rather than speeding up cell growth, the APC mutation creates a slowdown, or bottleneck, in the colon tissue’s renewal cycle.
According to Boman, this slowdown causes dividing cells to pile up instead of moving through the system as they should. The result is a kind of tumor cell “traffic jam” that leads to distorted tissue and the formation of adenomas, early growths that can become cancerous.

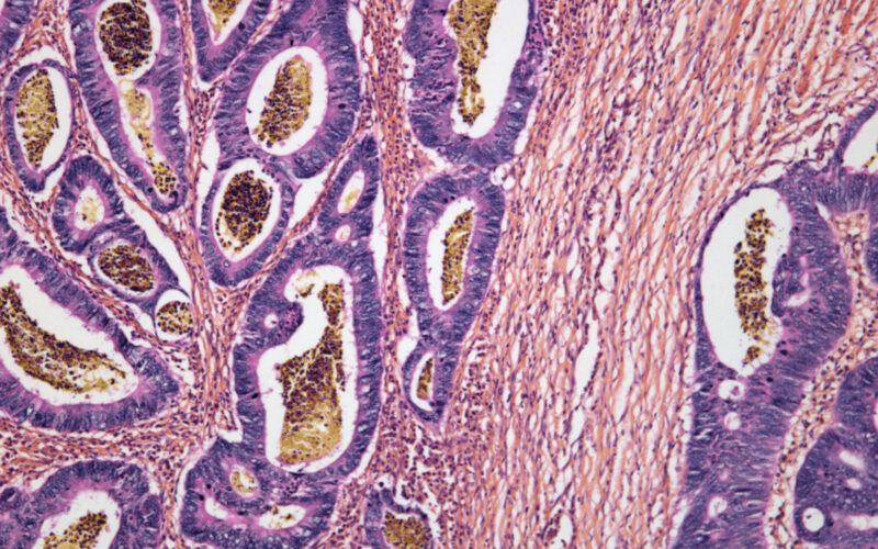
What APC-mutant Tissue Looks Like
To see these changes up close, the team compared healthy colon tissue with tissue from patients who have familial adenomatous polyposis an inherited condition caused by APC mutations. The differences were clear:
- APC-mutant crypts contained more immature, rapidly dividing cells.
- Fewer cells matured into specialized cells needed for healthy tissue.
- The zone where cells divide extended higher than normal.
- The overall renewal cycle took longer.
“These findings are significant because they show how cancer-driving mutations change tissues that normally renew themselves nonstop,” Boman said.

Pairing Patient Tissue With Computer Modeling
To see how these changes happen over time, the researchers studied patient tissue and used a computer model that shows how colon cells normally grow and renew. When they slowed this renewal process in the model, it matched what they saw in tissue with the APC mutation. Cells became crowded, the structures lost their normal shape, and early tumor-like growths, known as adenomas, began to form.
This confirmed that delayed renewal alone can trigger the earliest changes linked to colon cancer, even before cells appear abnormal under a microscope.
“Our findings show that APC mutation does more than turn on growth signals,” Boman said. “It changes the timing of renewal. Once that timing is off, the tissue becomes vulnerable to structural damage and early tumor growth.”
This research builds on earlier ChristianaCare and University of Delaware studies.
This study builds on earlier work by the same team that mapped how healthy colon tissue renews itself. In prior studies, the researchers identified five basic biological rules that guide how colon cells grow, move and replace one another in a steady, organized way.
The new findings show what happens when that system breaks down. A common mutation called APC slows the normal renewal process. Young, stem-like cells begin to build up before they can mature. Over time, that imbalance creates the conditions for early tumor growth.
To pinpoint how these changes unfold, researchers Gilberto Schleiniger, Ph.D., and Christopher Raymond, Ph.D., from the University of Delaware’s Department of Mathematical Sciences paired mathematical models with real patient tissue data. Their work shows that even small delays in cell renewal can push healthy tissue toward cancer.
“This gives us a clearer picture of how cancer can start long before a tumor is visible,” said Schleiniger. “By understanding the rules that keep healthy tissue in balance, we can see where and how things begin to go off track.”

Possible Path Toward Future Treatments
The findings also point toward a potential new approach to treatment. The researchers found evidence that the disrupted renewal process may trigger a chain reaction that allows pre-cancerous cells to keep copying themselves and fueling tumor growth.
By targeting this process, it may be possible to restore normal renewal timing and healthier tissue structure before cancer becomes established.
“This study shows that cancer isn’t just about rogue cells, but about a system that’s fallen out of rhythm,” Boman said. “If we can reset that renewal process, we may be able to prevent or slow early tumor growth before it gains momentum.”
To contribute to innovation at the Graham Cancer Center, click here.